Metro Dental Clinic & Implant Centre Noida

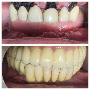
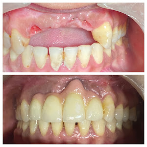
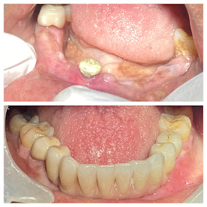
We provide best treatment in all types of treatment like immediate implants, wisdom tooth removal, smile design, zirconia crowns, invisible braces - Aligners and much more

Cover photo of Metro Dental Clinic & Implant Centre Noida

Customer's reviews

I took my daughter here for a dental issue, and as a parent, I was quite anxious about how she would handle the visit—but the experience turned out to be really reassuring. The staff was incredibly warm and patient with her from the start. They spoke to her gently, explained things in a way she could understand, and didn’t rush her at all. The dentist made a real effort to make her feel comfortable, which made a huge difference. What I appreciated most was how calmly and carefully the treatment was handled. They kept checking if she was okay and made sure she wasn’t scared or in pain. By the end of it, she was much more relaxed than I expected, which honestly says a lot. The clinic was clean, well-organized, and had a very welcoming environment for kids. Overall, it felt like they genuinely care about children and not just the treatment itself. I’d definitely recommend this place to other parents. ~ Velour s
I recently visited this dental clinic after putting off treatment for way too long, and I’m honestly glad I finally went. From the moment I walked in, the staff was polite and made me feel at ease, which helped calm my nerves a lot. The dentist, Dr. Sonia was very patient and took the time to explain what was going on instead of rushing straight into treatment. I appreciated how everything was broken down in simple terms, including the options and costs, so there were no surprises. The procedure itself was much smoother than I expected. I barely felt any discomfort, and they kept checking in to make sure I was okay throughout. The clinic was also very clean and well-maintained, which made the whole experience feel more professional and safe. Overall, it felt like they genuinely cared about patient comfort rather than just getting the job done. I’d definitely go back and would recommend them to anyone who gets anxious about dental visits. ~ DIYA K
Got one filling done on 10th June 2023 by Dr Gaurav Walia and he did a remarkable job. The total cost was also very reasonable.....600 for consultancy, 1300 for one filling ( in lower jaw ,right hand side) and finally 200 for tablets to avoid pain. Total cost Rs 2100.00 which I feel is very reasonable. Whole process took maximum 35 minutes. Ever since , I am feeling very good and there is no pain at all. Thanks to Dr Gaurav Walia for his professional approach. Thanks to his supporting staff too....who helped at the time of billing and were very considerate. Overall, a very satisfying experience. ~ Neeraj R

Contact information

Address
METRO DENTAL & IMPLANT CENTRE, OPD CHAMBER No: 1114(BASEMENT), METRO MULTISPECIALITY HOSPITAL, L-94, SECTOR 11 Noida 201301
Sunday Closed
Monday 9:00 AM - 8:00 PM
Tuesday 9:00 AM - 8:00 PM
Wednesday 9:00 AM - 8:00 PM
Thursday 9:00 AM - 8:00 PM
Friday 9:00 AM - 8:00 PM
Saturday 9:00 AM - 8:00 PM

Find us on social media